Ciencias naturales y de la salud


 

Ortodoncia digital: viviendo el futuro

La ortodoncia digital es una técnica emergente que experimenta un rápido desarrollo. Se espera que la digitalización en ortodoncia se convierta en el estándar de oro de atención en los próximos años, ya que ofrece enormes ventajas sobre los tratamientos ortodónticos convencionales.

En la era digital en la que vivimos, la tecnología ha transformado prácticamente todos los aspectos de nuestra vida. Se ha desarrollado la inteligencia artificial para abordar múltiples dificultades que enfrenta el ser humano (Schwendicke et al., 2020). En el campo de la biomedicina, los avances han sido notables en los últimos años, con el diseño de dispositivos y robots que facilitan el tratamiento médico de los pacientes, y la ortodoncia no es la excepción.

Se han desarrollado herramientas digitales que revolucionan el diagnóstico y el tratamiento ortodóntico incrementando la precisión en menor tiempo y con mayor comodidad para el paciente, sin experimentar dolor ni la ansiedad provocada por la visita al odontólogo (Solano-Mendoza et al., 2019).

La digitalización en ortodoncia es una realidad en la actualidad. Los escáneres intraorales, las tomografías, los programas en 3D, el diseño asistido por computadora, las fotografías, los simuladores, predictores y, las impresoras tridimensionales, son las nuevas herramientas digitales utilizadas por los ortodoncistas para realizar una planeación digital y predecir complicaciones; todo ello para incrementar la eficacia del tratamiento, así como disminuir el tiempo de trabajo.

Figura 1. Reconstrucción tridimensional del cráneo obtenida en el programa Blue Sky a partir de una tomografía CBCT. Se aprecia la longitud y dirección de las raíces dentales, lo que permite una planeación más precisa en tratamientos ortodóncicos.
Autor: Nicole Maité Lozada Orozco

Los avances más recientes en ortodoncia digital han confirmado la eficacia y la satisfacción tanto de los profesionales al realizar diagnósticos y planes de tratamiento más precisos con el respaldo de software y programas especializados, como de los pacientes que eligen someterse a un proceso digital (Grünheid et al., 2014; Bachoura et al., 2022). Este enfoque se traduce en tratamientos más rápidos y confiables, marcando un hito en la experiencia ortodóntica para ambas partes involucradas.

Estudios confirman que la colocación de brackets que se planifican con precisión utilizando modelos tridimensionales (Rossini et al., 2016; Panayi et al., 2020; Mahran et al., 2022), apoyados en una tomografía del paciente, mejoran el plan de tratamiento por la exactitud con la que se puede visualizar las estructuras dentales (Figura 2), lo que hace que la cita odontológica sea mucho más rápida en comparación con la ortodoncia tradicional, reduciendo el procedimiento de colocación de la aparatología a solo la mitad del tiempo. Además, al basarse en estudios digitales previos, la precisión en la colocación es notablemente superior, evitando posibles ajustes durante el tratamiento ortodóntico que podrían prolongarlo innecesariamente. Este avance no solo se traduce en mayor comodidad para el paciente, sino también en un tratamiento más rápido y eficiente que evitaría complicaciones futuras.

Figura 2. Planeación digital de colocación de brackets en 3Shape OrthoAnalyzer™, utilizando modelos escaneados en 3D integrados con CBCT. Esta integración facilita una visualización más detallada de las estructuras dentales y mejora la exactitud en el posicionamiento.
Autor: Nicole Maité Lozada Orozco

A su vez, programas como iTero o 3Shape permiten a los profesionales realizar escaneos digitales precisos de la boca del paciente, eliminando la necesidad de moldes físicos y proporcionando modelos 3D detallados (Figura 3). Herramientas como OrthoCAD o SureSmile permiten a los ortodoncistas planificar movimientos dentales específicos, diseñar tratamientos personalizados y simular resultados antes de iniciar el tratamiento. Programas especializados, por ejemplo, Blue Sky (Figura 1) son utilizados para diseñar brackets personalizados y alineadores transparentes adaptados a la anatomía particular de cada paciente. Así como los programas de diseño asistido por computadora (CAD, por sus siglas en inglés Computer-Aided Design) como AutoCAD o Blender son esenciales para crear modelos digitales tridimensionales que luego se imprimen en 3D para fabricar brackets, alineadores y otros dispositivos personalizados.

Figura 3. Visualización tridimensional del cráneo con brackets posicionados en 3Shape OrthoAnalyzer™, mediante la integración de modelos digitales 3D y CBCT. La simulación permite analizar de forma anticipada la relación de los brackets con las estructuras óseas.
Autor: Nicole Maité Lozada Orozco

Del mismo modo, plataformas como SimPlant permiten simular con precisión procedimientos quirúrgicos, como la colocación de ortoimplantes dentales, en entornos virtuales previos a la intervención real, mejorando significativamente la precisión y la seguridad del proceso.

Además, herramientas de visualización y comunicación, como ClinCheck de Invisalign o el DentalMonitoring de Aliwell permiten a los ortodoncistas mostrar a los pacientes visualizaciones digitales de su tratamiento propuesto, mejorando la comprensión y la participación del paciente.

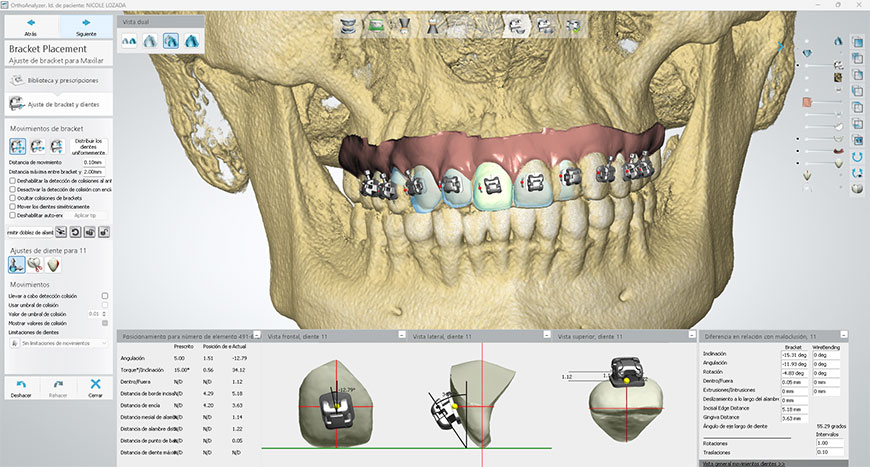
Figura 4. Planeación digital de colocación de brackets en 3Shape OrthoAnalyzer™, con enfoque en la evaluación de angulación y dirección dental. Este análisis es clave para lograr un posicionamiento más exacto y reducir la necesidad de ajustes posteriores.
Autor: Nicole Maité Lozada Orozco

De igual manera, esta tecnología tiene aplicaciones innovadoras en la cirugía ortognática guiada. Gracias a esta técnica, los pacientes tienen la oportunidad de visualizar el resultado facial postoperatorio de una cirugía de corrección de los maxilares, lo que no solo disminuye la ansiedad preoperatoria y la incertidumbre del resultado, sino que también proporciona a los pacientes una comprensión más nítida de los beneficios del procedimiento (Xia et al., 2000). Este enfoque pionero no solo impulsa la eficacia clínica, sino que también empodera a los pacientes al brindarles una experiencia más informada y participativa en su viaje hacia una mejor salud bucal y facial.

Por otro lado, la inteligencia artificial, ha logrado que la ortodoncia en la actualidad destaque por los avances previamente mencionados, además, ofrece una amplia gama de posibilidades innovadoras que transforman la dinámica de la atención ortodóncica. Una de estas posibilidades es la teleortodoncia en los tratamientos de alineadores invisibles, que permite a los pacientes realizar seguimiento y consultas virtuales con su ortodoncista. Este enfoque no solo optimiza el tiempo para los pacientes, sino que también brinda la posibilidad de recibir atención continua y personalizada sin la necesidad de desplazarse físicamente a la consulta del ortodoncista.

Figura 5. Selección y adaptación de arcos ortodóncicos en el módulo Bracket Placement de 3Shape OrthoAnalyzer™. La herramienta permite ajustar el arco al modelo digital del paciente, optimizando la planificación del tratamiento.
Autor: Nicole Maité Lozada Orozco

Es importante destacar que la integración de la inteligencia artificial en la ortodoncia está en desarrollo y constante evolución, haciendo posibles avances a pasos agigantados.

Estos hallazgos muestran que la ortodoncia digital ha llegado para cambiar la forma en que percibimos la ortodoncia; estos programas forman un universo digital que optimiza la eficiencia, precisión y comodidad, tanto para los pacientes como para los profesionales que trabajan con odontología digital, ya que permite resultados predecibles y visibles para los pacientes incluso antes de iniciar el tratamiento.

Además, muestra grandes ventajas desde el diagnóstico hasta el seguimiento, así como mejoría en la precisión, la comodidad y la reducción del tiempo de tratamiento, por lo que se estima se convertirá en el estándar de atención en los próximos años (Hennessy & Al-Awadhi, 2021; Drago et al., 2024) y permitirá mejorar la experiencia de los pacientes sometidos a tratamiento ortodóntico.

Finalmente, es fundamental reflexionar sobre el impacto ético y social de la ortodoncia digital. Aunque estas tecnologías ofrecen tratamientos más precisos y cómodos, también plantean desafíos relacionados con el acceso equitativo, los costos de implementación y la capacitación profesional. En muchos contextos, el alto precio de los escáneres e impresoras 3D puede limitar su adopción, generando una brecha entre instituciones con recursos y aquellas que no cuentan con ellos. Por ello, resulta indispensable que el avance tecnológico se acompañe de estrategias de inclusión y educación, garantizando que los beneficios de la ortodoncia digital lleguen a toda la población.

Figura 6. Ajuste digital de brackets en 3Shape OrthoAnalyzer™, mostrando parámetros de torque, inclinación y rotación de cada diente. Esta función posibilita un control detallado del posicionamiento y personalización del plan de tratamiento.
Autor: Nicole Maité Lozada Orozco

Asimismo, debe considerarse que la digitalización transforma la relación paciente-profesional: si bien incrementa la precisión, también puede generar dependencia tecnológica y reducir la enseñanza de técnicas manuales. La ética profesional deberá equilibrar la innovación con la accesibilidad y la formación integral de los futuros ortodoncistas (Schwendicke et al., 2020; Ramírez-Yañez et al., 2021).

 

 

Referencias

  1. Schwendicke F, Samek W, Krois J. Artificial intelligence in dentistry: chances and challenges. J Dent Res. 2020;99(7):769–774. doi:10.1177/0022034520915714
  2. Solano-Mendoza B, Montes LA, Alarcón JÁ, Mena Á, Cibrián R, Gandía JL. In-office indirect bonding technique using 3D digital planning and 3D printing. J Clin Exp Dent. 2019;11(10):e947–e951. doi:10.4317/jced.55905
  3. Grünheid T, Lee MS, Larson BE. Digital vs conventional bracket placement: a comparison of accuracy and efficiency. Am J Orthod Dentofacial Orthop. 2014;145(5):610–7. doi:10.1016/j.ajodo.2013.12.014
  4. Bachoura PC, Klabunde R, Grünheid T. Transfer accuracy of 3D-printed trays for indirect bonding of orthodontic brackets. Angle Orthod. 2022;92(3):372–9. doi:10.2319/073021-596.1
  5. Rossini G, Parrini S, Castroflorio T, Deregibus A, Debernardi CL. Diagnostic accuracy and measurement sensitivity of digital models. Am J Orthod Dentofacial Orthop. 2016;149(1):161–70. doi:10.1016/j.ajodo.2015.06.029
  6. Panayi NC, Tsolakis AI, Athanasiou AE. Digital assessment of direct and virtual indirect bonding of orthodontic brackets: a clinical prospective cross-sectional comparative investigation. Int Orthod. 2020;18(4):714–21. doi:10.1016/j.ortho.2020.09.007
  7. Mahran AA, Refai WM, Abdelhameed AN, Hashem AS. Accuracy of orthodontic indirect bracket bonding by CAD/CAM transfer tray. Open Access Maced J Med Sci. 2022;10(D):291–4. doi:10.3889/oamjms.2022.10025
  8. Xia JJ, Gateno J, Teichgraeber JF. Computer-assisted surgical planning in orthognathic surgery. Plast Reconstr Surg. 2000;106(2):236–42. doi:10.1097/00006534-200008000-00002
  9. Hennessy J, Al-Awadhi EA. Digital workflow in orthodontics. Dent Update. 2021;48(5):452–60. doi:10.12968/denu.2021.48.5.452
  10. Drago S, Migliorati M, Amore A, Bianchi SD, Giannì AB. Clinical outcomes of LightForce customized 3D printed orthodontic brackets. Angle Orthod. 2024;94(1):12–20. doi:10.2319/060123-414.1
  11. Ramírez-Yañez GO, Farrell SR, Harding WJ. Challenges in implementing digital orthodontics in Latin American academic institutions. J Orthod Sci. 2021;10:13. doi:10.4103/jos.JOS_62_20

 

Nicole Maite Lozada Orozco

Nicole Maité Lozada Orozco

Odontóloga graduada de la Universidad Regional Autónoma de los Andes UNIANDES Ambato - Ecuador. Maestra en Gerencia de Instituciones de Salud de la Universidad de las Américas UDLA – Ecuador. Especialista en Ortodoncia y Ortopedia Dentomaxilofacial por la Universidad Autónoma de San Luis Potosí (UASLP). Actualmente estudiante del Doctorado en Ciencias Odontológicas de la UASLP.

 

Alma Celeste Ortega Rodriguez

Alma Celeste Ortega Rodríguez

Médica Estomatóloga graduada de la Universidad Autónoma de San Luis Potosí (UASLP), con Maestría y Doctorado en Ciencias Biomédicas Básicas en la Facultad de Medicina de la UASLP, Docente de la Facultad de Estomatología de la UASLP.

 

Jorge Alejandro Marin Rodriguez

Jorge Alejandro Marín Rodríguez

Médico Estomatólogo graduado de la Universidad Autónoma de Aguascalientes, estudiante de la especialidad de Ortodoncia y Ortopedia Dentomaxilofacial de la Universidad Autónoma de San Luis Potosí.

 

Print
478 Califica este artículo:
2.0

Síguenos

 
 

 
CONTÁCTENOS

Logo Cinvestav

Av. Instituto Politécnico Nacional 2508,
Col. San Pedro Zacatenco,
Alcaldía Gustavo A. Madero,
Ciudad de México, Código Postal 07360

Tel. +52 55 5747 3800

Cinvestav © 2025
15/10/2025 04:39:47 p. m.